آخر الأخبار

spot_img

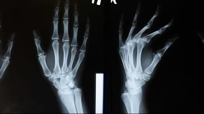
علماء صينيون يبتكرون “غراء عظمي” يثبت الكسور في 3 دقائق

صحيفة الثوري- صحة

تمكّن فريق بحثي في الصين من تحقيق إنجاز طبي كبير، وهو تطوير “غراء عظمي” جديد يسمى Bone-02، قادر على تثبيت الشظايا العظمية المكسورة خلال 3 دقائق فقط. هذا الابتكار، الذي استُلهم من كيفية التصاق المحار تحت الماء، يمثل نقلة نوعية في مجال جراحة العظام.

يتميز الغراء الجديد بسرعة تثبيته وفعاليته حتى في البيئات الغنية بالدم. والأهم من ذلك، أنه قابل للامتصاص داخل الجسم، مما يلغي الحاجة إلى إجراء عمليات جراحية إضافية لإزالة المسامير والصفائح المعدنية التقليدية.

وأظهرت الاختبارات المعملية والسريرية نجاحًا كبيرًا للمادة. فقد أثبتت التجارب التي أُجريت على أكثر من 150 مريضًا أنها آمنة وفعالة، وتوفر قوة ربط عالية.

ويأمل الباحثون أن يمهد هذا الابتكار الطريق لتقليل المضاعفات وتسريع زمن العمليات الجراحية، مما يجعله بديلاً واعداً للمزروعات المعدنية التقليدية.